主治醫師:鄧本暉 醫師 病患自述上下後側都缺了很多
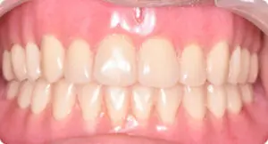
主治醫師:蔡忠澍 醫師 病人剛製作完上下全口活動假
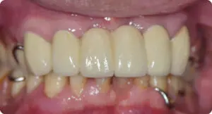
主治醫師:蔡忠澍 醫師 病人上下全口缺牙,導致病人
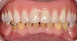
主治醫師:蔡忠澍 醫師患者因上顎全口缺牙、下顎部分