Skip to content
星皓牙醫
關於星皓
團隊介紹
環境介紹
水雷射治療
全瓷美學
陶瓷貼片
全瓷冠
DSD微笑設計
3D齒雕
診療項目
牙齒矯正
All on 4一日速定植牙
全口重建
牙齒美白
全瓷冠
陶瓷貼片
DSD微笑設計
3D齒雕
顯微根管
案例分享
陶瓷貼片
牙齒矯正
美容牙科
全瓷冠
3D齒雕
活動假牙
全口重建
最新消息
線上預約
星皓牙醫
關於星皓
團隊介紹
環境介紹
水雷射治療
全瓷美學
陶瓷貼片
全瓷冠
DSD微笑設計
3D齒雕
診療項目
牙齒矯正
All on 4一日速定植牙
全口重建
牙齒美白
全瓷冠
陶瓷貼片
DSD微笑設計
3D齒雕
顯微根管
案例分享
陶瓷貼片
牙齒矯正
美容牙科
全瓷冠
3D齒雕
活動假牙
全口重建
最新消息
線上預約
案例分享-美容牙科
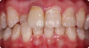
噴砂美白案例2
主治醫師:陳柏妤 醫師
閱讀更多 »
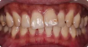
噴砂美白案例1
主治醫師:陳柏妤 醫師
閱讀更多 »
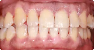
冷光美白案例2
主治醫師:陳柏妤 醫師
閱讀更多 »
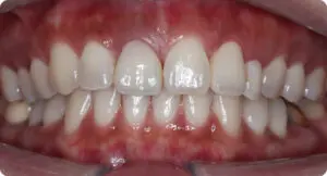
冷光美白案例1
主治醫師:陳柏妤 醫師
閱讀更多 »