主治醫師:副院長 林禹書 醫師 患者:IG網紅,未
「挑戰一個月內從一口爛牙變一口白牙」 主治醫師:副
【微笑是最好的語言】 主治醫師:副院長 林禹書 醫
主治醫師:副院長 林禹書 醫師 患者:黃小姐,攝影
主治醫師:副院長 林禹書 醫師 患者:黃小姐,21
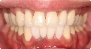
主治醫師:院長 劉晉嘉 醫師