笑齦臉歪不拔牙矯正

主治醫師:周霖晉 醫師

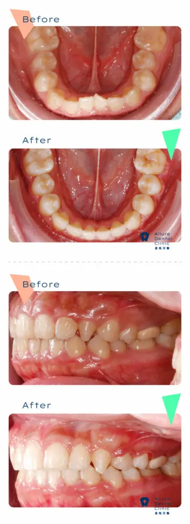
案例分享-笑齦改善,後牙壓入,臉歪的改善

該case比較麻煩的是咬合平面的不平整,造成咬合右低左高,術前的下巴歪斜的問題,再來因為咬合不良造成嘴周邊肌肉緊繃,在微笑等等時,都有點不協調。

更難為的是還有笑會露牙齦的問題,目前咬合平面前高後低,只能以後牙壓入(intrusion)骨頭的方式改善平面,千萬不可讓前牙再有過多的突出(extrusion)。因此利用後側內外共4根骨釘做後牙的壓入,同時改變歪斜(canting)

聽起來要打4根骨釘很可怕,病患還是非常勇敢的配合,明明怕得要死,但其實只有打麻藥會痛啦!大家不用太擔心,為了矯正結果的美好,過程總是要忍耐一下!

所以矯正牙齒不只可以變健康,更好清潔,還可以變美變好看!純天然且永久的變美!

牙齒矯正案例 周霖晉醫師4 1
牙齒矯正案例 周霖晉醫師4 2
牙齒矯正案例 周霖晉醫師4 3
牙齒矯正案例 周霖晉醫師4 4