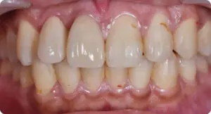
主治醫師:鄧本暉 醫師 病患因又上門牙撞斷而前來門
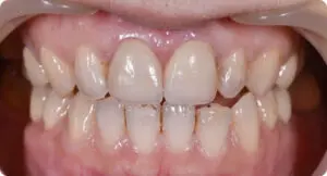
主治醫師:蔡忠澍 醫師 患者因右上正中門牙抽過神經
主治醫師:蔡忠澍 醫師 患者因之前製作的左上側門齒
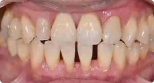
主治醫師:蔡忠澍 醫師 患者因車禍撞斷上顎三顆門齒
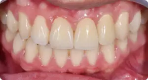
主治醫師:蔡忠澍 醫師 患者因之前製作的兩顆大門牙
主治醫師:蔡忠澍 醫師 患者因之前製作的右邊兩顆全