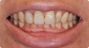
主治醫師:蔡忠澍 醫師 患者因之前製作已久的右上正
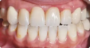
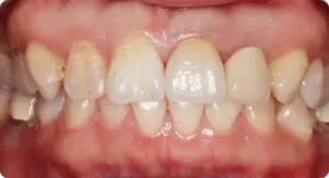
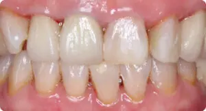
主治醫師:蔡忠澍 醫師 患者因之前製作已久的四顆門
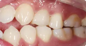
主治醫師:院長 劉晉嘉 醫師
主治醫師:陳柏妤 醫師
主治醫師:副院長 林禹書 醫師
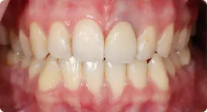
主治醫師:吳蕙宇 醫師 患者因牙齦發炎流血及多處齲